您的位置: 网站首页 >> 产品中心 >> 细胞 >> 原代细胞 > HCoSMC;人结肠平滑肌细胞(原代细胞)
产品名称:

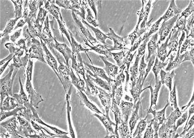
HCoSMC;人结肠平滑肌细胞(原代细胞)

产品型号: 产品时间: 2023-03-27
平滑肌收缩是胃肠的基本运动。人体肠道的炎症导致平滑肌特异性肌动蛋白水平增加,这反过来促进平滑肌层的增厚。增加的平滑肌肌动蛋白可能影响力的产生,并进一步证明发炎肠道中平滑肌细胞的可塑性[1]。研究还表明,人肠平滑肌细胞通过释放IL-6对IL-1β和TNF-α的刺激作出反应,这可能显着促进整体的全身炎症反应[2]。HCoSMC;人结肠平滑肌细胞(原代细胞)具有与胃平滑肌细胞不同的生长抑素受体亚型

产品概述

产品名称:HCoSMC;人结肠平滑肌细胞(原代细胞)​

​ScienCell:2940

5×10^5个细胞/瓶

来自ScienCell研究实验室的HCoSMC从人结肠中分离出来。HCoSMC在*代冷冻保存并冷冻。每个小瓶含有>5×10^5个细胞,1ml体积。HCoSMC的特征在于免疫荧光,其具有对α-平滑肌肌动蛋白和结蛋白特异的抗体。HCoSMC对HIV-1,HBV,HCV,支原体,细菌,酵母和真菌均为阴性。在ScienCell研究实验室提供的条件下,HCoSMC保证进一步扩大15次人口倍增。​

​该产品仅供研究使用。它未被批准用于人类,动物或体外诊断程序。​

经检测无支原体、细菌、酵母和真菌污染

​​​​​​​​​​​​​​​​​​​​​​​​​​​​​​​​​​​​​​​

平滑肌收缩是胃肠运动的基本事件。人体肠道的炎症导致平滑肌特异性肌动蛋白水平增加,这反过来促进平滑肌层的增厚。增加的平滑肌肌动蛋白可能影响力的产生,并进一步证明发炎肠道中平滑肌细胞的可塑性[1]。研究还表明,人体肠道平滑肌细胞通过释放IL-6对IL-1β和TNF-α的刺激作出反应,这可能显着促进整体的全身炎症反应[2]。结肠平滑肌细胞(CoSMC)具有与胃平滑肌细胞不同的生长抑素受体亚型[3]。​

人脑瘤
人骨髓神经母细胞瘤
人乳腺癌细胞
人皮肤黑色素瘤细胞
人神经母细胞瘤

晅科生物为研究界提供各种高质量的正常人和动物细胞,细胞培养基和试剂,基因分析工具,细胞衍生的分子生物学产品,基于细胞的检测试剂盒和干细胞产品。

​客户在细胞培养过程中,有任何技术问题可以联系售后服务

​客户应具有一定细胞培养知识与经验,并具备基本实验设备,如细胞培养实验室、无菌操作台、CO2培养箱,倒置显微镜等;还应准备好相应的无菌培养基、血清、双抗、细胞培养瓶、培养板等。

参考:

[1]。KM(1999)炎症诱导的大鼠肠平滑肌细胞肥大的特征。Dig Dis Sci。44(7):1265至1272年。
[2]。JE(2003)人肠平滑肌细胞是IL-6的有效生产者。调解员Inflamm。12(1):3-8。
[3] RT(1997)Colonic平滑肌细胞具有来自胃平滑肌细胞的不同生长抑素受体亚型。Am J Physiol。272:G689-97。​

当我*次冷却保存的细胞时,是否需要离心细胞去除DMSO?

 答:我们不建议离心细胞去除DMSO残留物。与DMSO残留物相比,离心过程对细胞更有害,特别是如果使用不适当的高速度。当您平板细胞时,DMSO将在培养基中充分稀释。例如,如果将整个冷冻管(1毫升)细胞在含有15毫升培养基的T-75培养瓶中培养,则DMSO浓度将小于0.67%(v / v)。如果将细胞培养在5000-10,000个细胞/ cm 2,则DMSO的浓度甚至更低。

晅科生物致力于为国内科研用户提供*质的产品,完善的服务。帮助您实验顺利。视天气状况和运输距离远近,公司与客户协商

公司优势:
1)质量:我司提供的的细胞为世界ATCC和Sciencell
2)价格:价格实惠,量大从优,产品价格随时会变动,实时报价还请来电获取。
4)服务:提供完整的售前、售后和售中服务。售后到底

如需订购HCoSMC;人结肠平滑肌细胞(原代细胞)​​​​​​​​​,请联系我们。

此外公司还提供:

黑人Burkitt淋巴瘤
人B淋巴细胞瘤
人B淋巴细胞瘤
人多发骨髓瘤细胞
人骨肉瘤细胞

留言框

  • 产品:

  • 您的单位:

  • 您的姓名:

  • 联系电话:

  • 常用邮箱:

  • 省份:

  • 详细地址:

  • 补充说明:

  • 验证码:

    请输入计算结果(填写阿拉伯数字),如:三加四=7
分享到:
版权所有©2019 上海晅科生物科技有限公司 备案号:京ICP证000000号
  • 扫一扫,关注我们